拔鱼刺花了85元,患者转头把医生投诉了
最近,很多媒体报道,江西某三甲医院的一位副主任医师分享了一则投诉。
一位病人在其医院取鱼刺花了 85 元,嫌贵然后要投诉医院,病人认为取个鱼刺为什么要花这么多钱?取鱼刺这种小活是顺手而为的事情,就应该免费!
这则消息的具体来源已经不可考,但医生取鱼刺因为收费被投诉,已经不是头一遭了。
2018 年,据杭 · 州日报,一名杭州的网友因卡鱼刺去医院取鱼刺,1 分钟的操作时间,医生就取出一根 1 厘米左右的鱼刺,付了门诊挂号费 10.5 元 + 治疗费 35 元共计 45.5 元,该网友认为这是在乱扣费。

图源:社交媒体
2023 年,据人民日报健康报道,四川一名网友在社交平台上发文称其因为鱼刺卡喉去医院挂急诊,从挂号到取出鱼刺总共 10 分钟,收费 52 元。该网友认为「医院才是赚大钱的地方。」
这些报道引起了网友们的激烈讨论,几十块钱取一根鱼刺,真的贵吗?
40~1000 元,取鱼刺怎么定价
在我国,公立医院医疗服务的收费标准由国家及地方物价部门联合制定,通常以《全国医疗服务价格项目规》为框架。取鱼刺的操作严格意义讲,属于「咽 / 喉部异物取出术」。
所以,中国拔鱼刺主力是急诊耳鼻喉医生,口腔和消化科医生则负责处理少数不走寻常路的鱼刺。如果你卡了鱼刺去往急诊,首诊你的大概率会是耳鼻喉科医生。
鱼刺最容易卡在口咽部,常见位置有扁桃体窝、舌根和会厌谷处,喉腔狭窄者容易卡在咽喉部的梨状窝区或声门。卡在食道的鱼刺相对少见。

咽部解剖,图源:耳鼻咽喉头颈外科学第 3 版
儿童是鱼刺卡喉的高发人群,尤其是 1~3 岁婴幼儿。由于处于口欲期和好奇心强的阶段,外加喉部结构较狭窄,吞咽功能不完善,因此深夜儿童医院的急诊耳鼻喉科常常可以看到来取鱼刺的孩子。

图片来源:丁香园往期内容
张洋(化名)是北京某三甲儿童医院耳鼻喉科的医生,他表示取鱼刺于他而言属于是家常便饭,「鱼刺或是其他海鲜类异物几乎每晚都有,一晚上多的时候会来 10 几个卡鱼刺的患儿,这还不算其他异物的。」
张洋所在的医院对于单纯取鱼刺的收费价格是 60 元,取不出来或是探查后未发现明显鱼刺残留的患儿则不收费。
「许多孩子只是卡了一下就随着吞咽进入消化道了,但咽部异物感并不会很快消失,所以在急诊没有探查到鱼刺的患儿,我们通常建议家长回家观察一晚,第二天如果异物感仍明显,再回来做进一步影像学检查。」
张洋表示自己出诊以来,还没碰到过因为取异物的收费所产生的投诉或纠纷,「明显的鱼刺几秒钟就取出来了,家长们开心还来不及,没有人会去投诉,探查不到鱼刺我们不收费,也还会有后续随诊流程,总体来说家长都能理解。」张洋如是说。
同为北京的三甲医院,收费标准也略有不同。陈辉(化名)所在的医院,对于取鱼刺的收费则有不同的分级,主要取决于取得过程有没有用到纤维喉镜。

图源:陈辉提供
「一般张嘴就能看到的扁桃体鱼刺,就收个间接喉镜取鱼刺 60.5 元,如果一些比较深的鱼刺使用到纤维喉镜,则加收 150 元的喉镜收费,对于特别深的需要全程镜下取出的食道鱼刺,收费则在 1000 元左右。」
陈辉所接诊的患者大部分是中老年病人,而且绝大多数卡鱼刺的患者均属于比较表浅的类型,需要借助纤维喉镜的病人,一晚上不超过 2 个。「偶尔会有用了镜子的病人对收费有疑问,但经过解释后绝大多数病人对收费表示理解。」
结合其他地区的医生反馈,一般表浅的鱼刺收费大约在 40~80 元不等,绝大多数卡了鱼刺的病人认为几十块钱的收费也并不算贵。
但卡鱼刺带来的风险,和取鱼刺的价格并不成正比。一根小小的鱼刺,却可能带来巨大的风险。
小鱼刺,也能难倒大医生
此前,丁香园曾报道过一例特殊的鱼刺病例,这位病人因为一根小小的鱼刺最终需要开胸 + 开腹手术(点击查看往期内容:华西真实病例!拔一根鱼刺,这群中国医生竟然发了 SCI。)
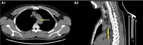
2023 年 4 月,患者因吃鱼误吞鱼刺,自行吞咽馒头后误以为鱼刺已脱落;2 天后,因胸骨后不适就诊当地医院,通过胸部 CT 意外发现鱼刺已穿透食管刺入胸主动脉,形成致命性食管主动脉瘘。

胸部断层 CT 影像:箭头所指白色条状物为鱼刺
当晚紧急开胸手术却未能找到鱼刺,术后复查显示鱼刺移位至腹腔动脉,遂转诊至华西医院。5 天后,在华西住院期间突发腹痛,经过多学科会诊最终锁定鱼刺已经游走至肝动脉,二次开腹手术后,才成功取出 2cm 鱼刺并修复血管。
无独有偶,2024 年 12 月,一位 46 岁男性与朋友聚餐时,因边吃鱼边聊天误吞巨大扇形鱼刺,卡喉后尝试吞蔬菜、喝水等错误方法,当晚胸部剧痛加剧。
拖延 1 天后,他前往桐庐当地医院就诊,CT 显示鱼刺已穿透食管,引发食管穿孔、心包积血,随即转至杭州市第一人民医院。此时鱼刺尖端已插入心脏表层(未深入心肌),当晚紧急开胸手术成功取出 4×3cm 的鱼刺。

图源:杭 · 州日报
像这样的由一根小鱼刺引发严重后果的案例还有很多,但不是每一个都有好的结果。
陈辉也想起了一例至今让他印象深刻的病例,一位老年男性因食道鱼刺在外院行了硬质食管镜下食道异物取出术,但在取出过程中,不规则的鱼刺对食道造成了二次损伤,但当时并未被发现,短短一周的时间,老人就发展椎旁间隙感染的程度,转到陈辉所在医院后,老人已经出现椎内感染迹象,又过了 1 周,老人最终离世。
从卡了鱼刺到离世,不过 1 个月左右的时间。
「包括鱼刺在内的任何异物,只要到达了食道,取出时就需要提起十二分的精神,尤其是要警惕不规则异物带来的食道损伤和取出过程中的二次损伤」陈辉解释道。
与开胸开腹手术相比,仅仅在急诊用一把枪状镊就能取出的鱼刺或许更为走运,相比之下,几十块钱的操作也真的算不上昂贵。临床医生在取鱼刺时除了单纯定位鱼刺,还要避免取出的损伤,在取出后更要检查是否有其他残留,绝非「顺手的事儿」。
「取鱼刺收的这几十块钱,几乎不会落在我们头上,就算一天取 10 个、20 个鱼刺,算下来也就是几百,和一线城市的美甲价格差不多,我们只是希望我们在医学道路上付出的努力,不应该只被操作时间和收费价格来衡量。」陈辉如是说。
本文张洋、陈辉均为化名